Paper Akademik
DESAIN DAN KONSTRUKSI RNAI UNTUK KNOCK-DOWN EKSPRESI GEN POLIGALAKTURONASE PADA CAPSICUM ANNUUM : SKRIPSI
Cabai (Capsicum annuum) memiliki buah dengan kadar air tinggi. Buah cabai juga mempunyai sifat fisiologi…
PENGARUH PEMBERIAN ASAM AMINO GLUTAMIN TERHADAP KUALITAS SPERMATOZOA SAPI SUMBA ONGOLE (BOS INDICUS), PASCAKRIOPRESERVASI : SKRIPSI
Telah dilakukan penelitian untuk mengetahui pengaruh pemberian berbagai konsentrasi asam amino glutamin (5 mM, 15…
EFEK FERMENTASI MENGGUNAKAN BAKTERI ASAM LAKTAT PADA PROSES AGING BAWANG PUTIH TUNGGAL (ALLIUM SATIVUM L.) TERHADAP PROFIL AKTIVITAS ANTIOKSIDAN BAWANG PUTIH TUNGGAL HITAM: SKRIPSI
Transformasi bawang putih menjadi bawang hitam menghasilkan banyak efek positif, sehingga perlu dilakukan proses yang…
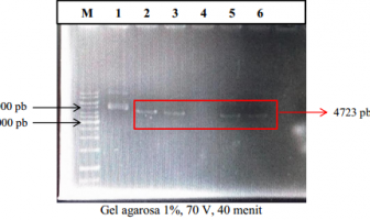
KONSTRUKSI PLASMID PJ804-MCSF3 UNTUK EKSPRESI PROTEIN MET-HG-CSF PADA ESCHERICHIA COLI artely2019a
Gen CSF3 merupakan gen penyandi human granulocyte-colony stimulating factor (hG-CSF). Gen CSF3 yang digunakan dalam…